КОМПЬЮТЕР ТОМОГРАФ БУЮУ CBCT

Таны эрүү ба шүдний зургийг энгийн дэлгэмэл зураг авч байгаа мэт авах ч CBCT нь таны эрүүний зурганд 300 гаран зүсэлт хийн томограмм (СТ) болгож харуулдаг ба энэ зураг нь орчин шүдний оношилгоо, эмчилгээнд маш чухал хэрэгсэл болоод байгаа.

СТ зургийг шүдний эмнэлэгт дараах салбарууд хэрэглэж байна:

  • Эндодонтологи, энэ нь шүдний эмчилгээний нэг чиглэл ба зөвхөн шүдний сувгийн эмчилгээ оношилгооны чиглэл юм. Зарим шүдний олдохгүй байгаа сувгийг СТ зураг дээр нарийвчлан харж олох, улмаар СТ зурган дээр түшиглэн шүдний бүх сувгийг олон түүгээрээ хөтөч guide бэлдэн сувагт орж болно.

Зураг.Энгийн 2D хэмжээст зураг дээр харагдахгүй шүдний сувгийг СТ зургийн хөндлөн ба хажуу огтлол дээр олж илрүүлсэн байдал

CT зургаа тусгай программд ачаалан шүдний сувгийг олох хөтөч төлөвлөсөн байдал

3D принтерээр принтерлэн бэлэн болгосон хөтөчөө загвар дээр суулгасан байдал.


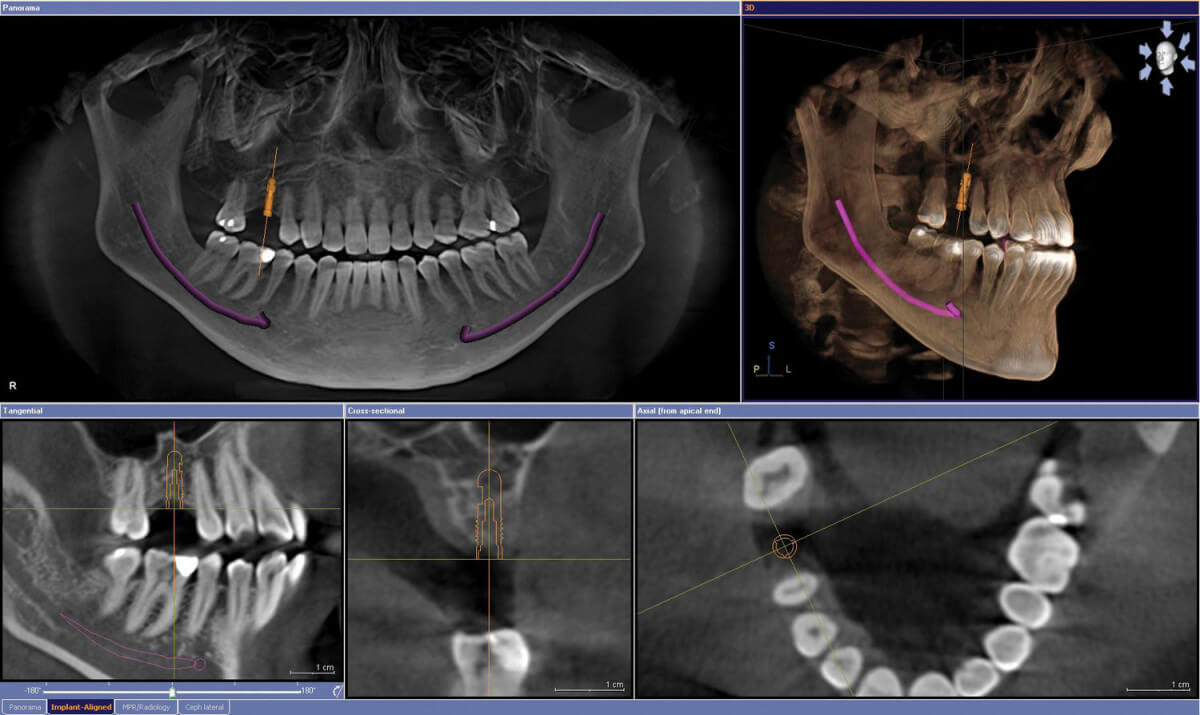
    • Имплантологи: энэ нь шүдний мэс заслын нэг чиглэл ба имплант суулгах шинжлэх ухааныг хэлнэ. Имплант суулгахад зарим хүний ясны зузааныг зөвхөн тэмтэрч үзэн, зузааныг баримжаалан хийдэг ба, СТ зураг авсанаар, тухайн хүний ясны зузааныг 0,01 мм-ийн нарийвчлалтайгаар хэмжиж имплант төлөвлөж болно. Хөтөчтэйимплант хийхэд, СТ зураг зайлшгүй шаардлагатай болдог.

    Зураг дээр СТ зураг ба дижитал загвараа хөтөч хийдэг програмд ачаалан ирээдүйн имплантаа дижиталаар байрлуулж, хөтөч бэлдэх явцыг харуулж байна.

    Дан ганц хөтөч бэлдэхэд бус, имплант суулгахад яс нөхөх шаардлагатай бол, яс нөхөн имплант суулгаснаар тухайн ясны эдгэрэлт бороололтыг тодорхой хугацааны давтамжтайгаар СТ зураг дээрээ хянаад явдаг.

    Зураг дээр яс нөхүүлсэний дараа ба бүрээс суулгасны дараах нөхсөн ясыг хэмжиж байгаа байдал

    • Ортондонтологи: Шүдний гажиг заслын шинжлэх ухаан. СТ зураг дээр шүдлэлтийн байдлыг гажуудалгүй харж болох ба, хэрэв ямар нэгэн шүд саатсан бол саатсан шүдний нарийвчилсан байрлалыг харан тухайн шүдийг ил гаргах эсвэл, авахад оношлогооны ач холбогдолтой байдаг. 2D зураг дээр үл харагдах шүдний ёзоорын налуу, ба чиглэлийг бүх хавтгайд 3D Харж болдог юм.

    2D зурган дээр саатсан гэдэг нь л харагдах соёо шүдийг 3D СТ зурган дээр яг нарийн байрлалыг нь тогтоон, дараагийн эмчилгээний төлөвлөгөөг хийхэд тус болдог

    Т